〒986-0815 宮城県石巻市中里3丁目1-11
(石巻線「石巻駅」より車で約8分、仙石線「陸前山下駅」より車で6分)

診療時間
9:00~17:00

休診日:水曜・日曜・祝日
祝日がある週の水曜は診療しております。

ご予約・お問合せはこちらへ

0225-22-4618

歯列矯正の症例写真

子どもの矯正治療

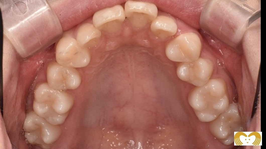
症例01:交叉咬合

《Before》
《After》
  • 年齢:7~12歳
  • 性別:女の子
  • 治療内容:ネオキャップシステムによる、交叉咬合の治療
  • 治療回数・期間:約5年間
  • 治療費:495,000円(税込)
  • リスク:取り外し可能な装置の為、治療の効果が使用頻度に左右されます。

症例02:交叉咬合

《Before》
《After》
  • 年齢:7~12歳
  • 性別:女の子
  • 治療内容:ネオキャップシステムによる、交叉咬合の治療
  • 治療回数・期間:約5年間
  • 治療費:495,000円(税込)
  • リスク:取り外し可能な装置の為、治療の効果が使用頻度に左右されます。

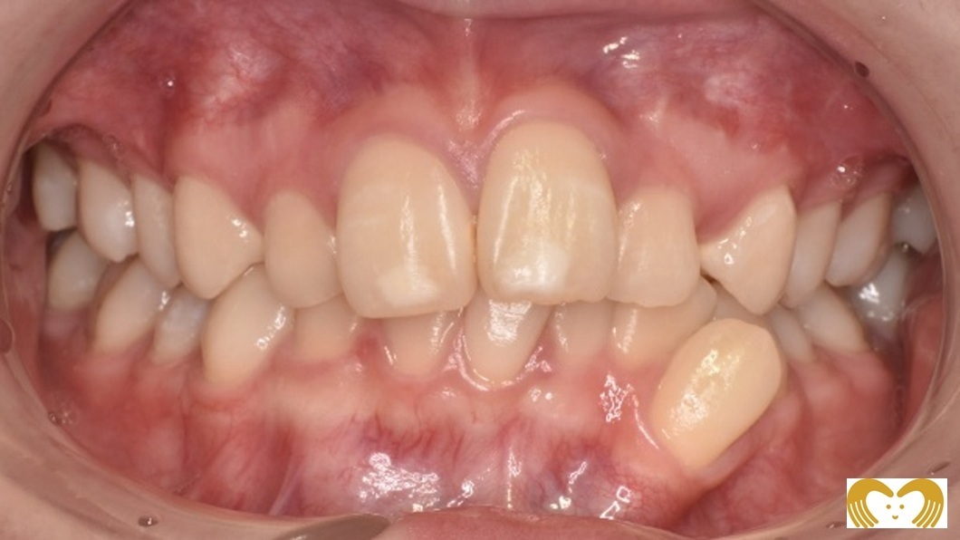
症例03:出っ歯

《Before》
《After》
  • 年齢:8~12歳
  • 性別:男の子
  • 治療内容:ネオキャップシステムによる、上顎前突(出っ歯)の治療。矯正前後のレントゲン比較から、気道(黄色矢印部分)が広くなっていることがわかります。現在は、当初見られた口呼吸も改善され、自然と鼻呼吸ができるようになりました。
  • 治療回数・期間:約4年間
  • 治療費:495,000円(税込)
  • リスク:取り外し可能な装置の為、治療の効果が使用頻度に左右されます。

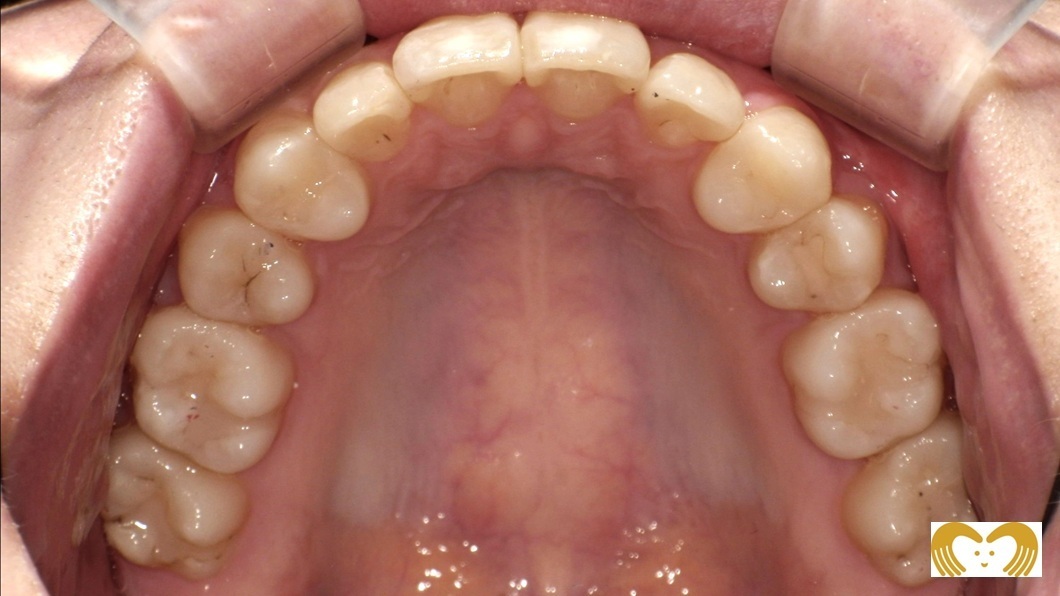
症例04:出っ歯・ガタガタな歯並び

《Before》
《After》
  • 年齢:8~13歳
  • 性別:女の子
  • 治療内容:ネオキャップシステムによる、上顎前突(出っ歯)と叢生・そうせい(ガタガタな歯並び)の治療
  • 治療回数・期間:約5年間
  • 治療費:495,000円(税込)
  • リスク:取り外し可能な装置の為、治療の効果が使用頻度に左右されます。

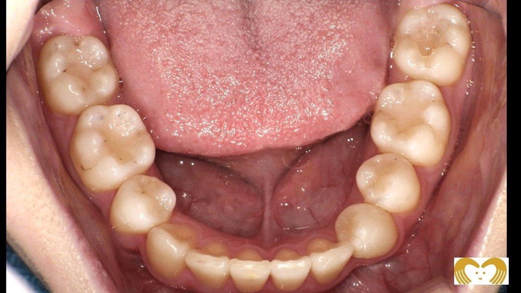
症例05:ガタガタな歯並び

《Before》
《After》
  • 年齢:7~12歳
  • 性別:女の子
  • 治療内容:ネオキャップシステムによる、叢生・そうせい(ガタガタな歯並び)の治療
  • 治療回数・期間:約4年間
  • 治療費:495,000円(税込)
  • リスク:取り外し可能な装置の為、治療の効果が使用頻度に左右されます。

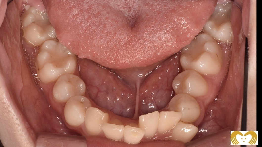
症例06:ガタガタな歯並び

《Before》
《After》
  • 年齢:8~11歳
  • 性別:女の子
  • 治療内容:ネオキャップシステムによる、叢生・そうせい(ガタガタな歯並び)の治療
  • 治療回数・期間:約2年6ヵ月間
  • 治療費:495,000円(税込)
  • リスク:取り外し可能な装置の為、治療の効果が使用頻度に左右されます。

症例07:受け口

《Before》
《After》
  • 年齢:9~12歳
  • 性別:男の子
  • 治療内容:ネオキャップシステムによる、反対咬合(受け口)の治療。
  • 治療回数・期間:約3年間
  • 治療費:495,000円(税込)
  • リスク:取り外し可能な装置の為、治療の効果が使用頻度に左右されます。

大人の矯正治療

症例01:叢生(30代女性)

《Before》
《After》

・年齢:30代
・性別:女性
・治療内容:インビザラインGOによる、叢生の治療
・治療回数・期間:約半年間
・治療費:418,000円(税込)
・リスク:取り外し可能な装置の為、治療の効果が使用頻度に左右されます。

症例02:叢生(20代女性)

《Before》
《After》

・年齢:20代
・性別:女性
・治療内容:インビザラインGOによる、叢生の治療。
・治療回数・期間:約半年間
・治療費:418,000円(税込)
・リスク:取り外し可能な装置の為、治療の効果が使用頻度に左右されます。

症例03:交叉咬合(40代女性)

《Before》
《After》

・年齢:40代
・性別:女性
・治療内容:インビザラインGOによる、交叉咬合の治療
・治療回数・期間:約半年間
・治療費:418,000円(税込)
・リスク:取り外し可能な装置の為、治療の効果が使用頻度に左右されます。

症例04:空隙歯列(すきっ歯)(10代女性)

《Before》
《After》

・年齢:10代
・性別:女性
・治療内容:インビザラインGOによる、空隙歯列の治療
・治療回数・期間:約半年間
・治療費:418,000円(税込)
・リスク:取り外し可能な装置の為、治療の効果が使用頻度に左右されます。

症例05:空隙歯列(すきっ歯)(30代女性)

《Before》
《After》

・年齢:30代
・性別:女性
・治療内容:インビザラインGOによる、空隙歯列の治療。矯正治療後には、上の前歯の古い被せ物をセラミックに変更しました。
・治療回数・期間:約8か月間
・治療費:418,000円(税込)
・リスク:取り外し可能な装置の為、治療の効果が使用頻度に左右されます。

症例06:叢生(10代女性)

《Before》
《After》

・年齢:10代
・性別:女性
・治療内容:インビザラインフルによる、叢生の治療
・治療回数・期間:約3年間
・治療費:770,000円(税込)
・リスク:取り外し可能な装置の為、治療の効果が使用頻度に左右されます。

症例07:上顎前突(出っ歯)(10代女性)

《Before》
《After》

・年齢:10代
・性別:女性
・治療内容:インビザラインGOによる、上顎前突の治療
・治療回数・期間:約9か月間
・治療費:462,000円(税込)
・リスク:取り外し可能な装置の為、治療の効果が使用頻度に左右されます。

症例08:叢生(10代女性)

《Before》
《After》

・年齢:10代
・性別:女性
・治療内容:インビザラインGOによる、叢生の治療。
・治療回数・期間:約6か月間
・治療費:462,000円(税込)
・リスク:取り外し可能な装置の為、治療の効果が使用頻度に左右されます。

症例09:叢生(10代女性)

《Before》
《After》

・年齢:10代
・性別:女性
・治療内容:インビザラインフルによる、叢生の治療。抜歯2本(右下4番、左下3番)
・治療回数・期間:約2年間
・治療費:946,000円(税込)
・リスク:取り外し可能な装置の為、治療の効果が使用頻度に左右されます。

※2024年12月 金額改定しております。
 インビザラインフル ¥770,000(税込) → ¥946,000(税込)
 インビザラインGO  ¥418,000(税込) → ¥462,000(税込)

以下のページもご覧ください

当院が提供するインビザライン矯正の特徴をご紹介するページです。歯並びのお悩みがある方はぜひご覧ください。

当院がご提供している、インビザライン治療の種類と費用を詳しくお伝えします。

ご来院から治療終了まで、インビザライン治療の流れについて紹介しています。

インビザライン治療に関するさまざまな質問にお答えするページです。

充実した設備を取り揃え、より質の高い診療のご提供を目指します。

当院では矯正歯科治療でお悩みの方へ無料矯正相談を行っています。お電話かご予約フォームよりお気軽にご連絡ください。

0225-22-4618

診療時間

診療時間:9:00~17:00
※祝日がある週の水曜は診療しております。
休診日:水曜・日曜・祝日

0225-22-4618

〒986-0815
宮城県石巻市中里3丁目1-11

石巻線「石巻駅 」より車で約8分
仙石線「陸前山下駅」より車で約6分